Làm đẹp Chăm sóc da Dinh dưỡng và da

CÁC DẤU HIỆU LÃO HÓA DA VÀ CÁCH CHĂM SÓC DA ĐÚNG CÁCH

CÁC DẤU HIỆU LÃO HÓA DA VÀ CÁCH CHĂM SÓC DA ĐÚNG CÁCH Các dấu hiệu lão hóa da: – Đường nhăn: Cấu trúc da thay đổi theo thời gian Các nếp nhăn thường là dấu hiệu có thể nhận biết đầu tiên của các thay đổi này – Sự...

Bệnh về da

BỆNH LANG BEN VÀ NHỮNG ĐIỀU CẦN BIẾT

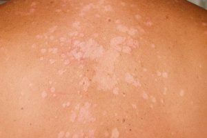
BỆNH LANG BEN VÀ NHỮNG ĐIỀU CẦN BIẾT 1. BỆNH LANG BEN LÀ GÌ ? Lang ben là một bệnh do vi nấm Pityrosporum Orbiculaire gây ra, hay gặp ở tuổi vị thành niên và người trưởng thành trẻ ( thường từ 15 đến 35 tuổi) làm xuất hiện các...

Bệnh về da

HẠT CƠM ( MỤN CÓC) ĐIỀU TRỊ NHƯ THẾ NÀO ?

HẠT CƠM ( MỤN CÓC) ĐIỀU TRỊ NHƯ THẾ NÀO ? Hạt cơm là tình trạng bệnh lý do sự tăng sinh lành tính của các tế bào biểu bì da và niêm mạc, do virus có tên Human Papiloma virus ( HPV) gây nên. Sự lây nhiễm có thể...

Làm đẹp

NỐT RUỒI XỬ LÝ THẾ NÀO CHO ĐÚNG

NỐT RUỒI XỬ LÝ THẾ NÀO CHO ĐÚNG. Nhiều bạn nghĩ rằng xử lý nốt ruồi rất đơn giản, làm ở đâu cũng được. Nếu không được thăm khám và điều trị bởi Bác sỹ Da liễu tẩy nốt ruồi sẽ để lại sẹo lõm, sẹo xấu sau khi điều...

Chăm sóc da Dinh dưỡng và da

VAI TRÒ QUAN TRỌNG CỦA DƯỠNG ẨM TRONG BỆNH VIÊM DA CƠ ĐỊA

VAI TRÒ QUAN TRỌNG CỦA DƯỠNG ẨM TRONG BỆNH VIÊM DA CƠ ĐỊA Dưỡng ẩm có thể dùng trong cả giai đoạn tấn công lẫn duy trì để phòng ngừa tái phát. Chất dưỡng ẩm được ví như vữa giữa các viên gạch của một bức tường. Vữa tốt bức...